Main menu
Common skin conditions
NEWS
Join DermNet PRO
Read more
Quick links
Crohn disease is an inflammatory bowel disease that involves inflammation of the small intestine. This can cause pain, fever, constipation, diarrhoea and weight loss. Extraintestinal features are common in Crohn disease and include arthritis, skin problems, inflammation in the eyes or mouth, gallstones and kidney stones. Crohn disease affects about 1 in 300 Europeans and has peak onset in the teens and 20s.
When granulomatous lesions of Crohn disease involve sites other than the gastrointestinal tract, the disease is termed metastatic Crohn disease.
Skin involvement or cutaneous Crohn disease occurs in about 40% of patients with Crohn disease.
Skin tags, swelling (oedema), fissures and abscesses around the perineal and perianal region are common in patients with Crohn disease. Painful vulval or scrotal fissures and ulceration may occur. See DermNet's page on genital Crohn disease.
Metastatic granulomatous cutaneous Crohn disease may present as spots or plaques found on the trunk, arms and legs. Lesions tend to be asymmetrical and involve dermis and or subcutaneous tissue (panniculitis). They may be mildly itchy.
In some cases, non-granulomatous skin disorders occur as a reaction to the intestinal disease. These include:
Occasionally, skin lesions may occur before any signs or symptoms of the intestinal disease.
Oral involvement occurs in 8-9% of Crohn disease and may include:

*

*

*

Episcleritis due to Crohn disease, New Zealand Medical Journal. 2006

Granulomatous cheilitis due to Crohn disease

Oral Crohn disease
Crohn disease affecting the gut may lead to malnutrition. Iron deficiency and vitamin deficiencies may present as skin or oral ulceration, persistent infections or pellagra.
Drugs prescribed for Crohn disease may also lead to adverse effects on the skin (drug eruptions).
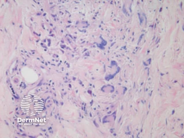
Skin biopsy of the lesion is performed. The histopathological finding of non-caseating granulomas similar to those found in intestinal Crohn disease supports the diagnosis of Crohn skin disease. In patients with no intestinal disease whose skin biopsy shows non-caseating granulomas, a thorough gastrointestinal history and systemic work-up should be performed.
The presence of anti-Saccharomyces cerevesiae (ASCA) antibodies in the blood are very suggestive of Crohn disease, with 60% sensitivity and 90% specificity.

Histology of cutaneous granuloma due to Crohn disease, New Zealand Medical Journal. 2006
Treatment for Crohn skin disease is palliative not curative.
Treatment of the intestinal manifestations usually improves the skin lesions. Treatment may include:
Book: Textbook of Dermatology. Ed Rook A, Wilkinson DS, Ebling FJB, Champion RH, Burton JL. Fourth edition. Blackwell Scientific Publications.
Medscape reference: