Main menu
Common skin conditions
NEWS
Join DermNet PRO
Read more
Quick links
Follicular disorder Diagnosis and testing
Author: Assoc Prof Patrick Emanuel, Dermatopathologist, Auckland, New Zealand, 2013.
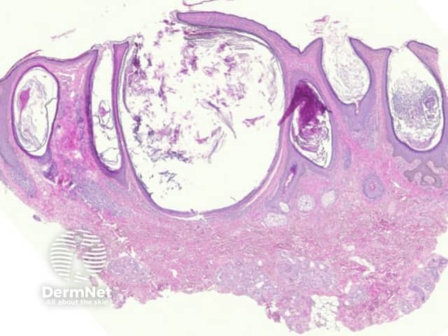
Comedones are follicular retention cysts which may open directly to the surface (open comedone or “blackhead”) or have a blocked surface (closed comedone or “whitehead”).
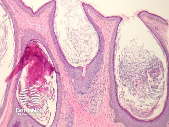
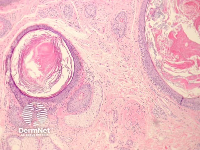
Sections of open comedones show massive follicular dilation (figure 1). The dilated follicles are filled with keratin (figure 2). These may be filled with cellular debris and/or inflammatory cells. Closed comedones do not show a patent follicular channel to the surface (figure 3).

Figure 1

Figure 2

Figure 3
None are needed.
Solar comedones and Favre-Racouchot – Show massive dermal elastosis.