Main menu
Common skin conditions
NEWS
Join DermNet PRO
Read more
Quick links
Lesions (cancerous) Diagnosis and testing
Author: Dr Aravind Chandran, Dermatology Registrar, Middlemore Hospital, Auckland, New Zealand, 2011.
Carcinoma erysipeloides is an uncommon form of cutaneous metastasis in which malignant cells spread to the skin via superficial dermal lymphatic vessels. It presents as an erythematous indurated plaque, most often located on the anterior chest wall.
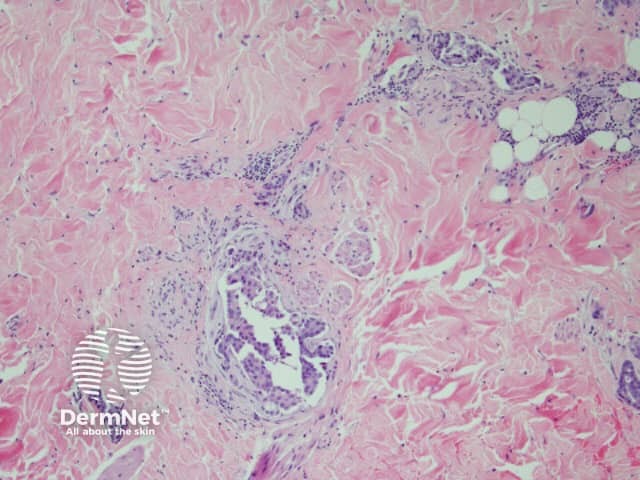
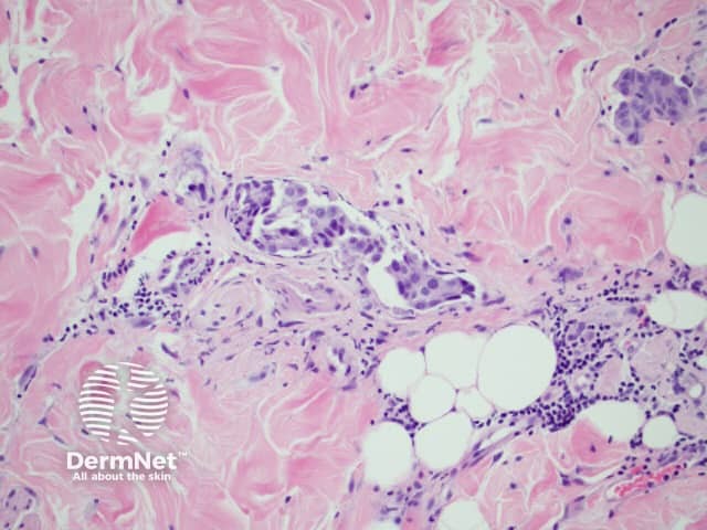
Histological findings of inflammatory carcinoma is distinctive with the deposition of tightly packed malignant cells within the superficial and deep lymphatics without the pathologic evidence of acute inflammation, such as neutrophils, although the lesions look clinically red and inflamed. Dermal lymphatic invasion is considered to be the hallmark of CE. 8

Figure 1

Figure 2

Figure 3

Figure 4
Immunohistochemistry may prove invaluable in establishing the tissue of origin.