Main menu
Common skin conditions
NEWS
Join DermNet PRO
Read more
Quick links
Lesions (benign) Diagnosis and testing
Author: Assoc Prof Patrick Emanuel, Dermatopathologist, Auckland, New Zealand, 2013.
Introduction Histology Special studies Differential diagnoses
Calcifying aponeurotic fibromas present at a young age on the hands and feet, as small nodular or infiltrative masses.
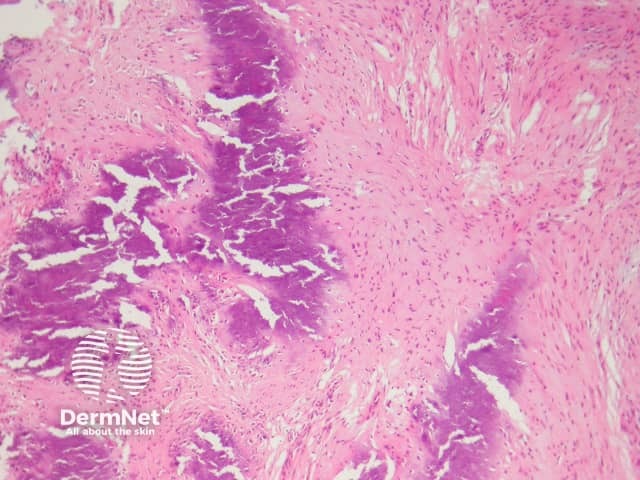
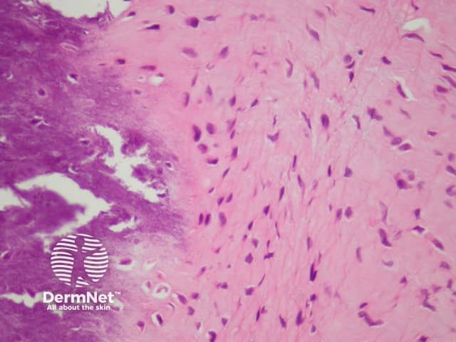
In calcifying aponeurotic fibroma, sections show an irregularly shaped dense mass of fibrous tissue with foci of calcification (figures 1, 2). The fibrous tissue is quite cellular and appears to infiltrate the surrounding adipose tissue (figure 1).
Rarely extramedullary haematopoiesis may be seen.

Figure 1

Figure 2
None are generally needed.
Plantar/palmar fibromatosis – Fibromatosis usually occurs later in life. Also, the mass is usually well defined as opposed to the infiltrative border of calcifying aponeurotic fibroma.