Main menu
Common skin conditions
NEWS
Join DermNet PRO
Read more
Quick links
Infections Diagnosis and testing
Author: Assoc Prof Patrick Emanuel, Dermatopathologist, Auckland, New Zealand, 2013.
Introduction Histology Special stains Differential diagnoses
Botryomycosis (bacterial pseudomycosis) is an uncommon chronic bacterial infection of skin caused by masses of colonizing bacteria. Staphylococcus aureus is the usual cause, but a wide range of gram negative organisms have also been isolated.
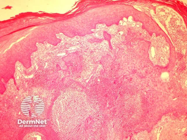
Histopathologic examination of botryomycosis shows a marked inflammatory response, scarring and suppuration. Trans-epidermal elimination, and marked epithelial hyperplasia may also sometimes be seen (figure 1).
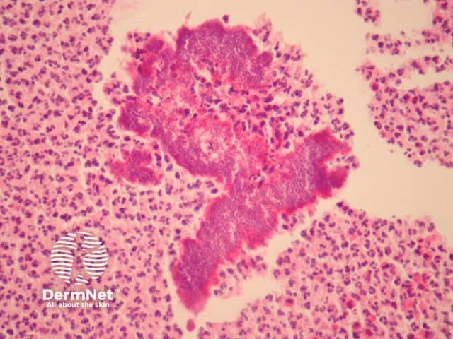
Botryomycosis resembles mycetoma with granules present within suppurative inflammation. The granules are composed of blue-stained bacteria surrounded by an intensely eosinophilic coat (the Splendore-Hoeppli Phenomenon, figure 2).

Figure 1

Figure 2
Gram stain will detect bacterial forms of botryomcyosis. PAS stain stains the granule.
Mycetoma – In contrast to mycetoma, botryomycosis is not caused by fungi or actinomycosis.
Disseminated infections – A disseminated infection will have a diffuse pattern of invasion without localized granules.
Squamous cell carcinoma – A massive epidermal reaction (figure 1) can be confused with an invasive carcinoma, particularly if only the surface of a lesion is biopsied.