Main menu
Common skin conditions
NEWS
Join DermNet PRO
Read more
Quick links
Infections Diagnosis and testing
Author: Assoc Prof Patrick Emanuel, Dermatopathologist, Auckland, New Zealand, 2013.
Introduction
Histology
Special studies
Differential diagnoses
Blastomycosis-like pyoderma is a form of pyoderma which elicits an impressive verrucous epidermal reaction and draining sinus. Various bacteria have been implicated as possible causative organisms.
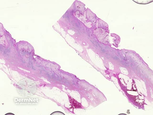
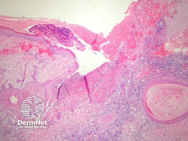
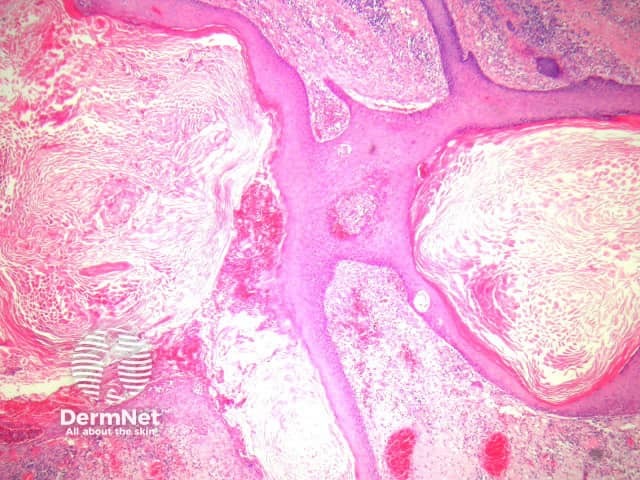
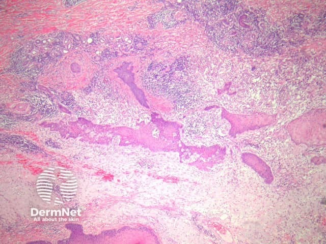
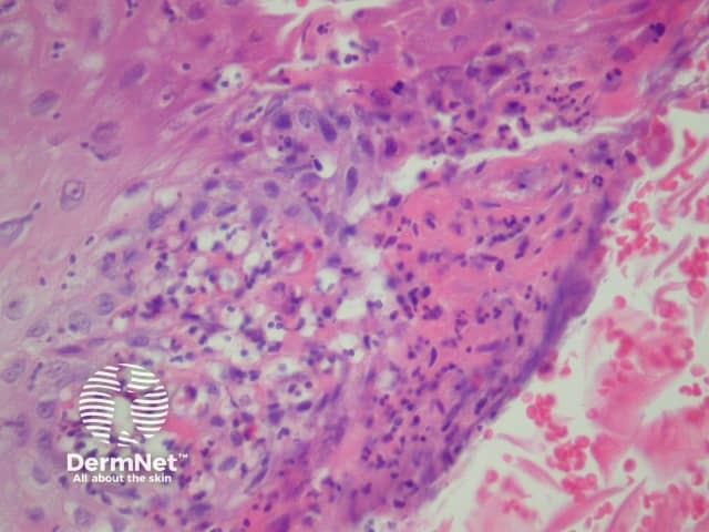
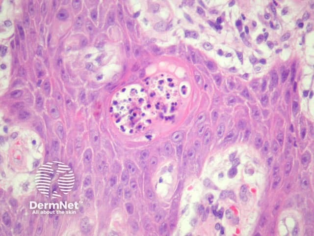
In blastomycosis-like pyoderma, sections usually show a broad verrucous lesion with epidermal papillomatosis which may resemble a keratoacanthoma (figure 1). There may be surface erosion and suppuration (figure 2). Numerous cystic spaces connect with the surface via draining sinuses (figure 3). There may be a pseudo-infiltrative growth pattern as the regenerative epithelium mimics an invasive squamous cell carcinoma (figure 4). Neutrophilic collections are present in the dermis and within squamous islands (figures 5, 6).

Figure 1

Figure 2

Figure 3

Figure 4

Figure 5

Figure 6
Gram stain and culture studies may reveal bacteria. Staphylococcus aureus is the most frequent causative agent.
Keratoacanthoma – The surface epithelial hyperplasia may be difficult to distinguish from a keratoacanthoma.
Blastomycosis – The reaction pattern is very similar. Special stains for fungal forms should be performed.
Atypical mycobacterial infection/sporotrichosis — these infections may also cause a massive epidermal response. Searching for the causative organisms and correlation with the cultures results can be helpful.
Actinic comedonal plaque — may represent a later stage of blastomycosis-like pyoderma. The inflammation is typically less striking and there is usually impressive solar elastosis.