Main menu
Common skin conditions
NEWS
Join DermNet PRO
Read more
Quick links
Authors: Dr Georgia M Moore, Junior Medical Officer, Wollongong Hospital, Wollongong, NSW, Australia; Dr Monisha Gupta, Dermatologist, The Skin Hospital, Sydney, NSW, Australia. DermNet Editor in Chief: Adjunct A/Prof Amanda Oakley, Dermatologist, Hamilton, New Zealand. Copy edited by Gus Mitchell/Maria McGivern. January 2019.
Introduction Demographics Causes Clinical features Diagnosis Differential diagnoses Treatment Outcome
Annular lichenoid dermatitis of youth is a rare skin condition that was first described in 2003 [1]. It is characterised by sharply demarcated annular erythematous macules and papules with central hypopigmentation [2].
Annular lichenoid dermatitis of youth was first described in young healthy individuals from the Mediterranean [1]. The mean age of patients affected by this skin condition is 10 years [2]. Cases in adults and older people have been reported from central Europe, the USA, and Japan [3,4].
An exact cause for annular lichenoid dermatitis of youth is yet to be discovered. It is believed to share pathogenic factors with other lichenoid dermatoses, like lichen planus, graft versus host disease, and lichenoid drug eruption, which involve a T-cell-mediated response and subsequent apoptosis of basal keratinocytes [2]. The reasons why the rete ridges are targeted in annular lichenoid dermatitis are currently unknown.
Annular lichenoid dermatitis typically presents as asymptomatic rounded, oval, or annular red-brown macules or patches. These start as erythematous macules with a raised border and develop central hypopigmentation as they gradually enlarge (Figure 1) [2]. The macules or patches are not itchy.
The lesions are found on the patient's trunk, groin, and less frequently, in the axillae [2]. The individual is otherwise well, with no systemic symptoms being seen.

Annular lichenoid dermatitis
Credit: Prof Paolo Gisondi
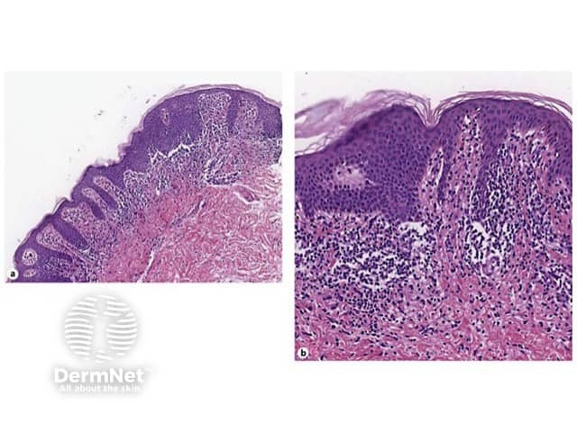
Annular lichenoid dermatitis of youth is diagnosed on histopathology, with the presence of specific hallmark features. These features include:

Annular lichenoid dermatitis histopathogy
Credit: Prof Paolo Gisondi
Annular lichenoid dermatitis of youth may be clinically confused with morphoea, mycosis fungoides, and annular erythema.
Transient remissions can be achieved in annular lichenoid dermatitis of youth with treatment with topical steroids, systemic steroids, topical tacrolimus, or narrowband ultraviolet B phototherapy [2].
The lesions can reappear once treatment has been ceased [2]. Spontaneous recovery without treatment can also occur, but this is uncommon.
Annular lichenoid dermatitis of youth slowly progresses, with no serious complications being reported to date. The duration of annular lichenoid dermatitis of youth varies. Out of 21 cases described from 2005 to 2013, most lesions were successfully treated with topical corticosteroids but these recurred once therapy was discontinued [2]. There have been a few cases that demonstrated complete remission after treatment cessation, and one case that showed spontaneous regression without any treatment [2].