Main menu
Common skin conditions
NEWS
Join DermNet PRO
Read more
Quick links
Author: A/Prof Patrick Emanuel, Dermatopathologist, Auckland, New Zealand, 2013.
Introduction
Histology
Special studies
Differential diagnoses
Annular elastolytic giant cell granuloma is a histiocytic/granulomatous dermal infiltrate that results in phagocytosis and destruction of elastic fibres. Atypical facial necrobiosis lipoidica is probably best considered a form of this disorder and because of this there is confusion in nomenclature.
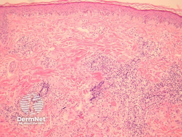
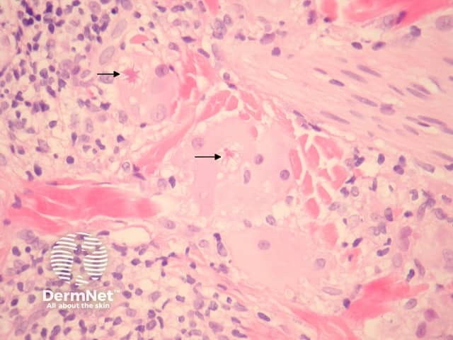
Sections show a granulomatous and lymphocytic infiltrate involving the dermis (figures 1, 3). The giant cells often contain asteroid bodies (figure 2, arrows). There is an associated infiltrate containing histiocytes, lymphocytes and some plasma cells (figures 1, 2).

Figure 1

Figure 2

Figure 3
Elastic stains show a disruption of the elastic architecture (Figure 3, notice the reduced density of elastic fibres on the left side of the image).
Conditions to consider in the differential diagnosis of annular elastolytic giant cell granuloma are: