Main menu
Common skin conditions
NEWS
Join DermNet PRO
Read more
Quick links
Author: Assoc Prof Patrick Emanuel, Dermatopathologist, Auckland, New Zealand, 2013.
Introduction Histology Special studies Differential diagnoses
Angiomyofibroblastoma is a benign soft tissue tumour of the external genitalia.
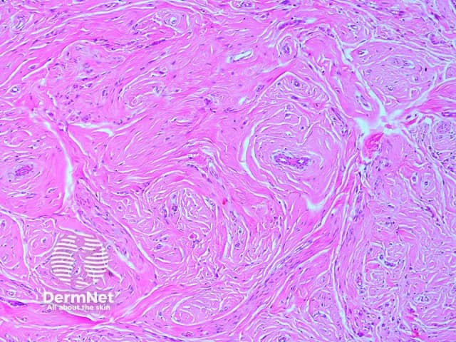
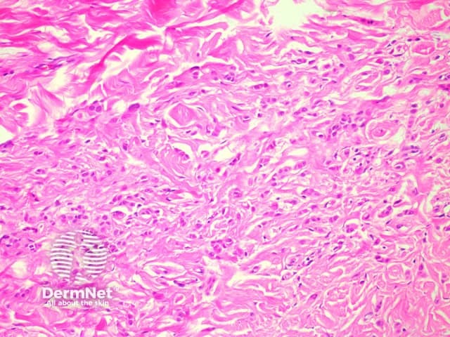
Microscopic examination of angiomyofibroblastoma demonstrates a well-circumscribed tumour without a capsule and with variable cellularity. Hypocellular areas are collagenous (figure 1) or myxoid with some small-medium sized vessels. Hypercellular areas, located predominately around the vessels, contain characteristic plump round/oval shaped cells with relatively uniform nuclei without remarkable atypia (figure 2). Occasional multinucleated and binucleated cells may be seen.

Figure 1

Figure 2
The angiomyofibroblastoma tumour cells are positive with immunohistochemistry for actin. Oestrogen and progesterone markers may also be positive.
Aggressive angiomyxoma – These are infiltrative tumours and usually much larger (more than 5 cm). Tumours have been described with mixed features of angiomyofibroblastoma and aggressive angiomyxoma, which raises the possibility that these tumours are related.