Main menu
Common skin conditions
NEWS
Join DermNet PRO
Read more
Quick links
Author: Adjunct A/Prof Patrick Emanuel, Dermatopathologist; Dr Luis Pablo de la Rosa, Orthopaedic Oncologic Surgeon, Clínica Ricardo Palma, Lima, Peru. DermNet Editor in Chief: Adjunct A/Prof Amanda Oakley. September 2018.
Introduction Histology Special stuides Differential diagnoses
Angiomatoid fibrous histiocytoma is an uncommon variant of fibrohistiocytic tumor with intermediate malignant potential (metastases are rare but do occur). Typical cases occur in young adults and most often present in the skin or soft tissue of extremities or neck.
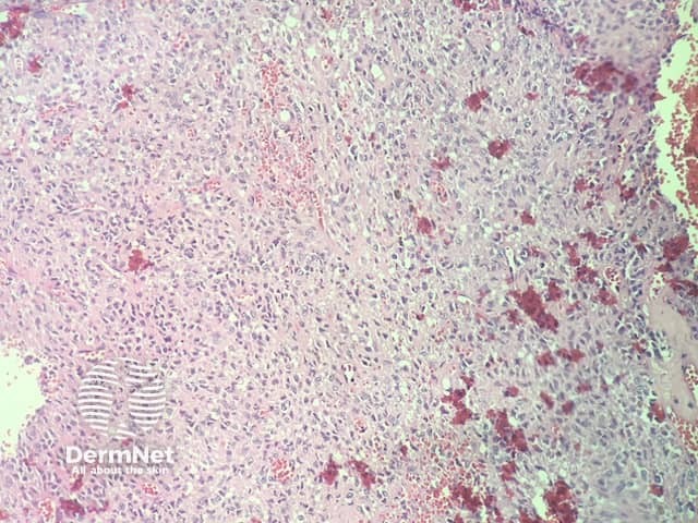
In angiomatoid fibrous histiocytoma, the histopathology shows a dense capsule surrounding the tumour and associated lymphoid aggregates (figure 1). Centrally, there are large blood filled cavities associated with surrounding haemorrhage and hemosiderin deposition (figures 2,3). In other areas, there is a solid growth of monomorphic bland spindle to ovoid eosinophilic cells (figure 4). In some areas there may be some pleomorphism and mitotic activity.

Figure 1

Figure 2

Figure 3

Figure 4
Immunohistochemistry shows the tumour cells are positive with CD68. Variable positivity can be seen with actin, desmin, CD99, and EMA.
Cytogenetically, these tumours almost invariably show a translocation with FISH studies (usually t(12;16)(q13;p11).
Other conditions that should be considered in the differential diagnosis of angiomatoid fibrous histiocytoma include:
Saito K, Kobayashi E, Yoshida A, et al. Angiomatoid fibrous histiocytoma: a series of seven cases including genetically confirmed aggressive cases and a literature review. BMC Musculoskelet Disord. 2017 Jan 23;18(1):31. doi:10.1186/s12891-017-1390-y. Review. PubMed PMID: 28114920; PubMed Central PMCID: PMC5260132.