Main menu
Common skin conditions
NEWS
Join DermNet PRO
Read more
Quick links
Author: Adjunct A/Prof Patrick Emanuel, Dermatopathologist, Clínica Ricardo Palma, Lima, Peru. DermNet Editor in Chief: Adjunct A/Prof Amanda Oakley. October 2018.
Introduction
Histology
Special studies
Differential diagnoses
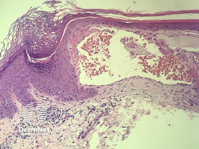
Angiokeratoma presents as a blood-filled papule which may bleed following trauma. There are a range of clinical presentations ranging from isolated lesions of little consequence to widespread lesions associated with Fabry disease.
In angiokeratoma, the histopathology shows a vascular lesion in the superficial dermis which extends into the epidermis. There is epidermal hyperplasia and papillomatosis. There may be intravascular thrombosis (figures 1,2).

Figure 1

Figure 2
None are generally needed.
Other diagnoses to be considered include: