Main menu
Common skin conditions
NEWS
Join DermNet PRO
Read more
Quick links
Reactions Diagnosis and testing
Author: Assoc Prof Patrick Emanuel, Dermatopathologist, Auckland, New Zealand, 2013.
Introduction Histology Special studies Differential diagnosis
Acute generalised exanthematous pustulosis (AGEP) is a rare dermatosis that presents as multiple pustules on a generalized erythematous eruption. Numerous causative drugs and infections have been implicated.
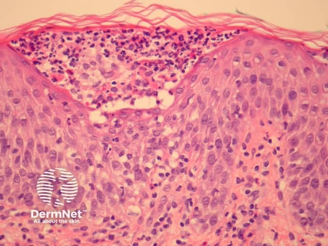
In AGEP, there is spongiosis and minimal acanthosis of the epidermis. Neutrophilic spongiotic pustules are the most striking feature (figure 1, 2). These pustules are present within the stratum corneum and/or the epidermis. Sometimes, apoptotic keratinocytes are seen in the adjacent epidermis. There is often a dermal response which is rich in lymphocytes and eosinophils (figure 3).

Figure 1

Figure 2

Figure 3
None are generally needed. The pustulation may prompt examination of a PAS stain to rule out a fungal aetiology.
Pustular psoriasis — Psoriasis usually shows more impressive postulation, minimal spongiosis and a usually lacks dermal eosinophilia.
Subcorneal pustular dermatosis — The pustules rest over the epidermis and do not form epidermal pustules. Spongiosis is usually not overt. There may be clinical and pathologic overlap in some cases.
IgA pemphigus — The intraepidermal form of IgA pemphigus may closely resemble AGEP. Immunofluorescence may be helpful in distinguishing these entities.
Bullous impetigo — Gram stains should show some subcorneal bacteria. Epidermal neutrophilic postulation is generally not a feature.