Main menu
Common skin conditions
NEWS
Join DermNet PRO
Read more
Quick links
Author: Assoc Prof Patrick Emanuel, Dermatopathologist, Auckland, New Zealand, 2013.
Introduction Histology Special studies Differential diagnoses
Acquired elastotic haemangioma represents an endothelial proliferation, which commonly presents as a flat or raised erythematous lesion in otherwise healthy individuals.
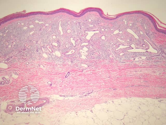
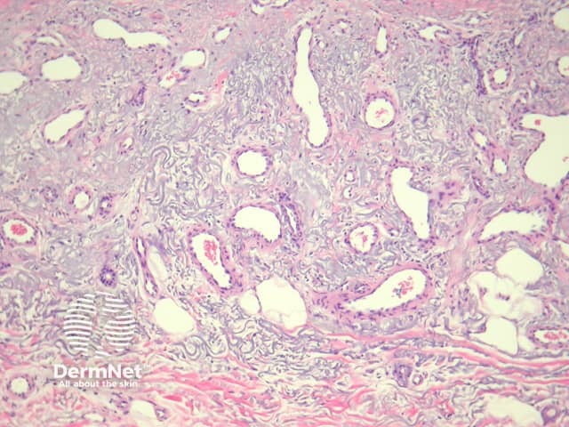
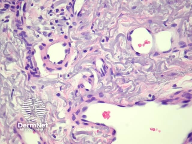
In acquired elastotic haemangioma, sections show prominent solar elastosis with a proliferation of dilated, fine endothelial-lined structures in the upper dermis forming a horizontal band (figure 1, 2). The deep margin of the proliferation is usually well defined. The endothelial lining is bland without multilayering or nuclear atypia (figure 3).

Figure 1

Figure 2

Figure 3
None are generally needed. Lymphatic markers are usually negative. CD31 and CD34 can highlight the blood vessels.
Low grade angiosarcoma — These can be deceptively bland. An infiltrative growth pattern, nuclear atypia and layering of endothelial cells are clues in diagnosing angiosarcoma.
Capillary haemangioma — Impressive dermal elastosis is usually not seen in other haemangiomas. Acquired elastotic haemangioma often presents with an unusual clinical presentation.