Main menu
Common skin conditions
NEWS
Join DermNet PRO
Read more
Quick links
Go to the pemphigus vulgaris topic page

Erosions and flaccid blisters in pemphigus vulgaris (PV-patient1)

Abdominal erosions in pemphigus vulgaris (PV-patient1)

Oozing scalp plaques in pemphigus vulgaris (PV-patient1)

An intact blister and erosions in pemphigus vulgaris

An intact blister on the palate in pemphigus vulgaris

Eroded plaques in pemphigus vulgaris over the trunk (PV-patient2)

Erosions over the neck and upper back in pemphigus vulgaris (PV-patient2)

Arcuate erosions and an occassional intact blister in pemphigus vulgaris (PV-patient3)

Erosions and blisters in pemphigus vulgaris (PV-patient3)

Erosions in pemphigus vulgaris (PV-patient3)

Scalp macceration and crusting in pemphigus vulgaris (PV-patient3)

Chronic lip erosion in pemphigus vulgaris (PV-patient3)

Vulval erosions in pemphigus vulgaris

Direct immunofluorescence of perilesional skin in pemphigus vulgaris - immunostaining with IgG producing intercellular "chicken wire" fluorescence

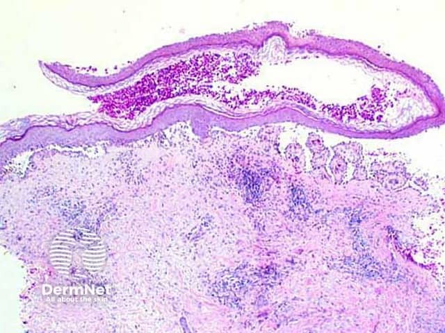
Suprabasal intraepidermal blister formation with acantholytic keratinocytes and "tombstone" basal keratinoytes in pemphigus vulgaris

Direct immunofluorescence of perilesional skin in pemphigus vulgaris - immunostaining with IgG producing intercellular "chicken wire" fluorescence

Suprabasal intraepidermal blister formation with acantholytic keratinocytes and "tomb stone" basal keratinocytes in pemphigus vulgaris
Go to the pemphigus vulgaris topic page

Pemphigus vulgaris

Pemphigus vulgaris

Pemphigus vulgaris

Pemphigus vulgaris

Pemphigus vulgaris

Pemphigus vulgaris

pemphigus vulgaris

pemphigus vulgaris

pemphigus vulgaris

pemphigus vulgaris



Pemphigus vulgaris



pemphigus vulgaris













Oral pemphigus

Ocular pemphigus vulgaris


pemphigus vulgaris

pemphigus vulgaris

pemphigus vulgaris

pemphigus vulgaris






