Main menu
Common skin conditions
NEWS
Join DermNet PRO
Read more
Quick links

Figure 15a

Figure 9

Figure 45a

Parallel ridge pattern, asymmetrical structure and diffuse pigmentation

Figure 31
Figure 70b

Figure 47
Figure 66

Figure 22

Figure 10

Figure 15b

Figure 42

Figure 26b

White structures and surface keratin in squamous cell carcinoma dermoscopy

Red clods separated by white lines in pyogenic granuloma

Figure 74

Figure 76

Figure 33b

Figure 45b

Figure 17

Seborrhoeic keratosis dermoscopy

Figure 7a

Figure 14
Figure 68a

Figure 63

Figure 50b

Figure 46b
Figure 70a

Figure 79

Figure 6b

White structureless areas and white circles in squamous cell carcinoma dermoscopy

Figure 19c

Figure 73

Figure 19b

Figure 15c

Figure 16

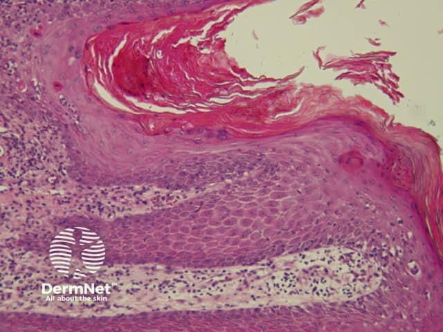
Histology of melanoma in situ

Figure 70d

Figure 4a

Figure 13
Diagram of acral volar skin

Figure 77

Figure 36

Grey circles seen in dermoscopy of a facial solar lentigo

Figure 64

Grey circles seen on dermoscopy of lentigo maligna

Figure 52

Solar lentigo

Figure 68c

Figure 78

Figure 33a

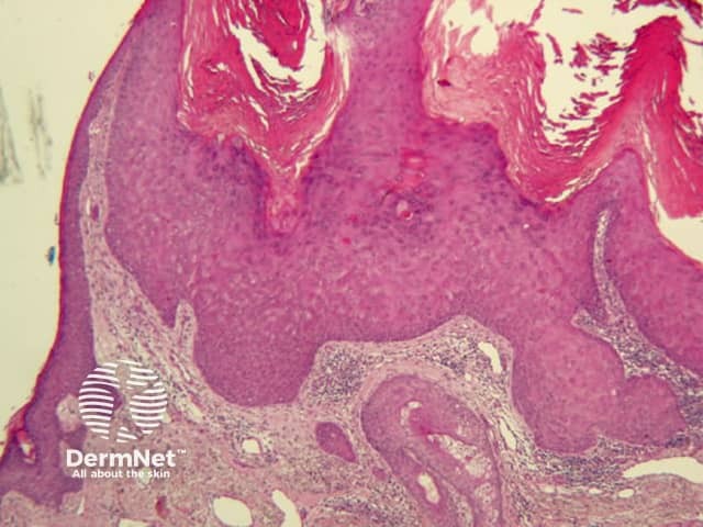
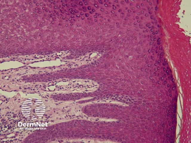
Histology of a solar lentigo

Figure 15
Figure 28

Figure 49b

Figure 60b

Figure 38

Figure 35

Figure 44

Figure 70c

Figure 49d

Figure 32

Figure 80

Figure 25

Figure 19a

Figure 46a

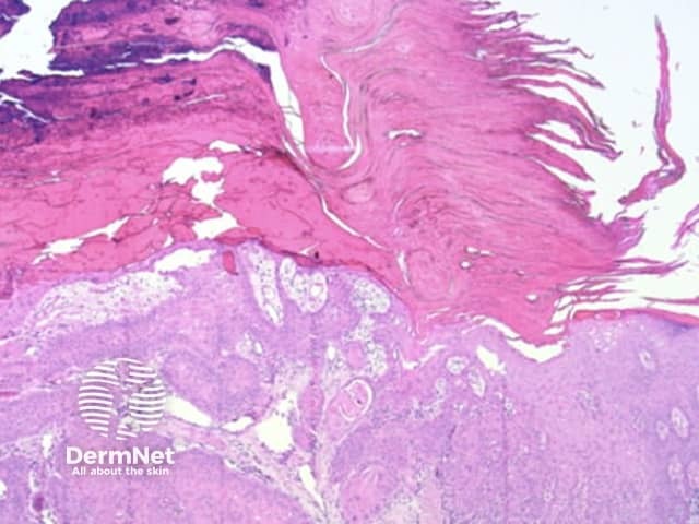
Pathology of melanoma

Figure 18a

Figure 75

Figure 68b

Figure 50a

Parallel furrow pattern BRAAF -1

Dermoscopy of acral naevus showing parallel ridge pattern

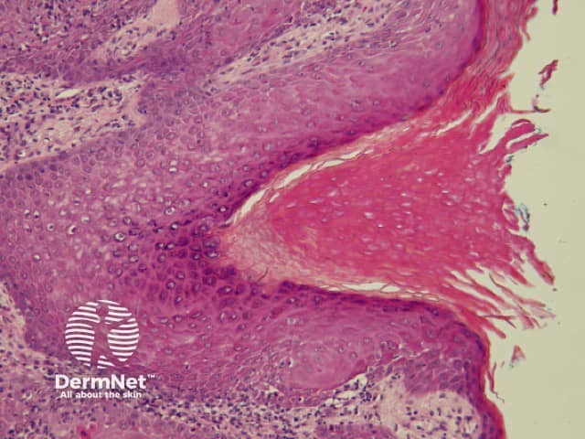
Histology of pigmented actinic keratosis

Dermatofibroma pathology

Dermatoscopy of dermatofibroma

Figure 39

Figure 18b

Figure 11

Figure 7b

Blue naevus

Figure 8

Figure 30

Figure 56

Dermal lobular arrangement of capillaries

Figure 6a